Pes - CT, ultrazvuk, rentgen
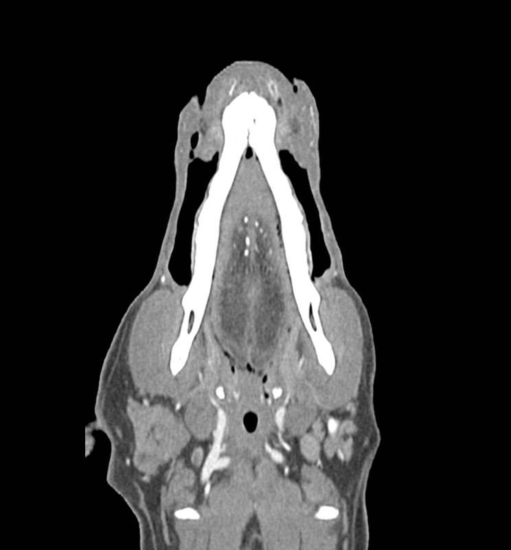
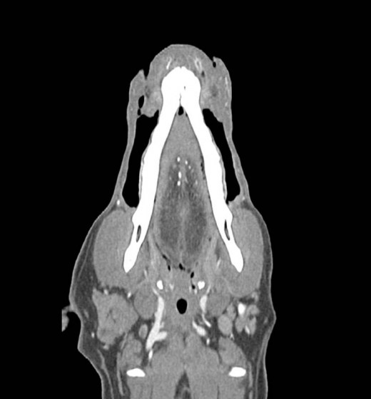
Fantom hlavy psa pro CT a rentgen
Kód produktu: EM270-VET14010
Fantom poskytuje realistickou CT simulaci psí hlavy bez kontrastní látky. Kosti a měkké tkáně jsou autenticky zobrazeny s realistickými hodnotami CT pro všechny tkáně při napětí trubice 120 kVp v CT skeneru. Vzduchové prostory jsou vyplněny kompozitem z celulózového polymeru s přibližně -80 Hounsfieldovými jednotkami. Pokud má být fantom používán primárně při jiném napětím trubice (např. 100 kVp), lze kalibraci hodnot CT v případě potřeby odpovídajícím způsobem upravit. Fantom také poskytuje realistické kontrasty tkání při rentgenovém zobrazování.
Rozměry: 14 x 13 x 22 cm




